-
オプション検査
あなたに合ったオプション検査をご提案します
喫煙している / 同居人に喫煙者がいる方
お酒をよく飲む方
65歳以上の方
女性の方
新型コロナの抗体を調べたい方
がんについて特に調べたい方
PCやスマホを見る機会が多い / 首や腰にしびれなど違和感がある方
-
喫煙している
同居人に喫煙者がいる -
お酒をよく飲む方
-
65歳以上の方
-
がんについて特に調べたい方
-
新型コロナの抗体を調べたい方
-
女性の方
-
PCやスマホを見る機会が多い
首や腰にしびれなど違和感がある方
オプション検査一覧
検査項目をクリックすると詳しい内容を
ご確認いただけます。
なお個人負担金については
契約団体様ごとに異なります。
-
頭部MRI・MRA検査
この検査に関する項目
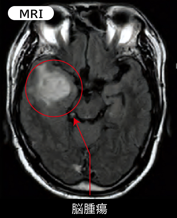
脳の病気である脳卒中は、我が国の死因第3位、寝たきり原因の第1位となっています。
脳卒中は一瞬にして命を失ったり、言語障害や麻痺などの重い後遺症につながったりすることがあります。
MRI・MRA検査による早期発見、早期治療が大切です。磁力を使った鮮明な撮影
MRI・MRA検査は、X線を使用せず、強力な磁場を利用して頭部を撮影します。脳の断層写真を撮影し、脳腫瘍や脳梗塞を鮮明に写し出す「MRI」、脳の血管を立体的に写し出し、血管が狭くなっているところや脳卒中の前兆を発見する「MRA」という2種類の検査があります。MRAは、MRIとセットでお受けいただく必要があります。
受診者にやさしい検査機器
当センターのMRはトンネルが広いタイプを採用し、狭い所が苦手な方でも受診しやすい環境を整えております。
また、検査室の壁面にも富士山の写真をあしらい、解放感を演出しています。注意事項
ペースメーカー、人工内耳を付けている方は受診できません。
体内に金属、人工器具などが入っている方や、入れ墨、アートメイクをしている方は受診いただけないことがあります。
当センターのMR機器は3ステラという非常に強力な磁力を使用します。やけど等のリスクを回避するため、装飾品やメイクは事前に落としていただきます。必要な場合はご自身のメイク用品をご持参ください。
-
MR検査
この検査に関する項目
全身がんMRI検査(DWIBS)
DWIBSとは、Diffusion-weighted Whole body Imaging with Background Suppressionの略で、背景抑制広範囲拡散強調画像といいます。MRI検査の撮像法である全身拡散強調画像による全身(躯幹部)悪性腫瘍スクリーニング検査です。正常細胞と悪性腫瘍の細胞では、細胞と細胞の間にある水分の動きに違いがあります。この動きの違いをもとに悪性腫瘍を検索します。また、この検査では炎症など悪性腫瘍以外の疾患検索も可能です。
より詳しい内容はこちら脊椎MRI検査
脊椎は頸椎・胸椎・腰椎・仙骨・尾骨で構成され、体を支えたり、内臓や脊髄(神経)を守る働きをしています。そんな重要な役割を果たす脊椎が異常をきたし、椎間板や脊髄に障害を与えると、痛みやしびれの症状として現れます。そこでMRIにて首や腰の痛み、肩こりやしびれなどの原因を解明し、脊椎疾患の予防と早期発見を目的とした検査を行います。
注意事項
ペースメーカー、人工内耳を付けている方は受診できません。
体内に金属、人工器具などが入っている方や、入れ墨、アートメイクをしている方は受診いただけないことがあります。
当センターのMR機器は3ステラという非常に強力な磁力を使用します。やけど等のリスクを回避するため、装飾品やメイクは事前に落としていただきます。必要な場合はご自身のメイク用品をご持参ください。
-
肺がんCT検査8,800円
-
肺気腫CT検査
この検査に関する項目
肺気腫と慢性気管支炎を含めた肺疾患の総称をCOPD(慢性塞栓性肺疾患)といいます。
これはタバコなどの有害な空気を吸い込むことで肺に炎症が起こり、呼吸障害を引き起こす進行性の病気です。
症状が進むと少し動くだけで息苦しくなり、酸素吸入が必要になるなど日常生活に大きな支障をきたします。
この検査で現在の肺気腫の進行度を知り、COPDの予防につなげていきましょう。肺がんCTとセットの検査です
この検査は肺気腫の進行度を画像化して調べる検査です。
肺がんCT検査とセットで行いますが、撮影時間は通常のCT検査と変わりません。注意事項
ペースメーカー、除細動器をつけている方は受診できません。
現在肺の病気で治療中または経過観察中の方は受診できません。
肺がんCT検査とセットで行いますので、肺気腫CT検査のみの受診はできません。
この検査で非気腫型のCOPDは評価できません。
-
喀痰(かくたん)検査2,200円
肺や気管支から分泌される粘液(痰)を採取して、顕微鏡でがん細胞の有無を調べます。
胸部X線や肺がんCTでは写りにくい肺門部(肺の入り口)のがんの早期発見に効果があります。
喫煙していて、痰が出る方に特におすすめです。検体を郵送していただきます
人間ドック当日に、痰を採取するための容器をお渡しします。
ご自宅で3日間、痰を採取していただき郵送していただきます。 -
骨粗鬆症検査2,750円
骨粗鬆症は、骨がもろくなり骨折しやすくなる病気です。初期には無症状のことが多く、進行すると身長低下や腰背部痛といった症状が徐々に現れ、少しの衝撃で骨折してしまうこともあります。
若いころから骨密度を把握し、骨粗鬆症を予防することが大切です。注意事項
妊娠中の方、授乳中および産後3年以内の方は受診できません。
-
腫瘍マーカー・甲状腺刺激ホルモン検査
腫瘍マーカーは、悪性腫瘍の補助診断として測定します。また、甲状腺刺激ホルモン(TSH)は、甲状腺の機能を調べる検査です。甲状腺はエネルギー代謝を調節したり、自律神経をコントロールしています。
甲状腺検査で過去に指摘されたことがある方に特におすすめします。
- CA19-9:膵がん・胆道がんなどのマーカー
- CEA:胃がん・肺がん・乳がん・大腸がんの他、膵がん・消化器がんのマーカー
- PSA:前立腺がんのマーカー
- CA125:卵巣がんのマーカー
- TSH:甲状腺機能の検査
-
PSA(前立腺がん検査)1,650円
血液中のPSAという物質が一定値を上回ると前立腺がんが疑われます。
ただし、PSA値は前立腺肥大や前立腺炎などでも上昇することがあります。 -
血清インスリン検査(糖尿病リスク検査)1,650円
より詳しい内容はこちらインスリンとは身体の中で唯一「血糖値を下げる」ホルモンで、膵臓から分泌されます。
インスリンの分泌が不足したり効き目が悪いと、高血糖状態が持続し、糖尿病になります。
糖尿病は合併症を引き起こすことで知られており、最近では認知症やがんとの関連も注目されています。
この検査ではインスリンの働きを調べ、血糖検査だけではわからない糖尿病のリスクをはじめ、メタボリックシンドロームや動脈硬化のリスクも調べることができます。継続的に検査し、インスリンの値の変化を見逃さないことが大切です。注意事項
インスリン注射を行っている方は受診できません。
-
心臓疲労度チェック(NT-proBNP検査)2,200円
NT-proBNPとは、心臓に負担が加わることによって血液中に分泌される物質のひとつです。
より詳しい内容はこちら
この検査によって、心不全になる危険性の予測や心臓疲労の程度を調べることができます。
心電図では発見できない軽症の心不全や、狭心症の早期発見・予防に有効です。 -
ヘリコバクター・ピロリ抗体検査
(胃がんリスク検査)1,760円現在、日本人のほとんどの胃がんは、ピロリ菌感染症によることがわかってきました。
より詳しい内容はこちら
ピロリ菌に感染している人は、感染していない人に比べて胃がんになる可能性が20~30倍も高いとされています。
これまで一度もピロリ菌の感染について調べたことのない方、特に若年者の方におすすめします。陽性の場合は除菌療法の適用となります
ただし保険診療を適用する場合は内視鏡検査の受診が必須です。
内視鏡検査未受診の方は自費診療による対応となります。注意事項
ピロリ菌除菌金約の内服治療歴のある方は受診いただけません。
除菌し、正しく効果判定(成功したかどうかの確認)がされていれば再感染はまれです。
除菌の効果判定は抗体検査ではできません。
まだ判定を行っていない方は除菌薬を処方してもらった病院で尿素呼気テストなどを受けてください。
1回の処方による除菌成功率は70~80%です。昨年の抗体検査で陰性だった方は受診いただけません。
過去に抗体陰性高値(±3.0~9.9)であった方は受診いただけません。
-
風しん抗体検査2,970円
血液検査によって、風しんに対する抗体があるかを調べます。
より詳しい内容はこちら -
新型コロナウイルス抗体検査3,850円
ワクチン接種や過去の感染などによって、血液中に抗体がどのくらいできているかを調べます。
ワクチンの効果を調べてみたい方や、人と接触する機会の多い方などにおすすめします。
※ここで言うワクチンはmRNAワクチン(ファイザー社・モデルナ社)を指します。 -
アレルギー検査
厚生労働省によると、日本人の約2人に1人が何らかのアレルギー疾患を持っていると言われています。
症状が出る前に、一度アレルギーの原因物質を調べてみましょう。
-
子宮頸がん(細胞診)+経膣超音波検査
この検査を含む項目
子宮頸がんの罹患率は、20歳代後半から30歳代後半まで増加した後横ばいになり、70歳代後半から再び増加しています。特に近年は若年層の罹患率が増加しています。
細胞診は子宮頚部の細胞を採取し、顕微鏡で調べる検査です。少量の出血を伴う場合もありますが、検査は数分で終わります。
生理中の方や採取した細胞量が少ない場合は、正確な判定が出来ないことがありますのでご了承ください。
また、セットで行う経膣超音波検査は、膣内から子宮・卵巣の形態を画像で観察する検査です。
※細胞診の検査は午後になることがあります -
乳腺超音波検査(エコー)
この検査を含む項目
乳房内の小さなしこり(腫瘍)の発見に適した検査です。
エラストグラフィ機能を搭載した検査機器を使用するため、しこりの大きさや硬さ、状態なども観察することができます。また、脇の下など周囲のリンパ節も調べます。
乳腺が発達している若い世代の方や、マンモグラフィで高濃度乳房と判定されている方でもしこりが見つけやすいことに加え、ペースメーカーを装着されている方や豊胸術後の方、妊娠中や授乳中の方でも受けられます。 -
乳房X線検査(マンモグラフィ)
この検査を含む項目
乳がんは30歳代から増加し始め、日本人女性の9人に1人が乳がんにかかると報告されています。
より詳しい内容はこちら
マンモグラフィは乳がん検診において死亡率減少効果が認められている検査方法で、
乳房を片方ずつ押さえ、乳腺を広げてX線で撮影する検査です。注意事項
ペースメーカーを付けている方は受診できません。
VPシャント、CVポート(カテーテル)を使用している方は受診できません。
乳房形成術、豊胸術後の方は受診できません。
妊娠中(可能性含む)、授乳中の方は受診できません。
胸部や脇などに制汗スプレーやボディーパウダー、ラメ入りのクリームなどが付着していると判定に影響を及ぼす恐れがあるため、当日は使用しないでください。
-
乳がん検診セット
(乳房X線検査と乳腺超音波検査の総合判定)下記の検査を受けられます。
乳腺超音波検査(エコー)
乳房X線検査(マンモグラフィ)
-
HPV:ヒトパピローマウイルス検査
(子宮頸がんリスク検査)この検査を含む項目
この検査では、ハイリスク型のHPV(ヒトパピローマウイルス)を検出することにより、がん化するリスクの程度を調べます。
HPVには性交渉の経験がある多くの女性が感染しますが、感染しても通常は2年以内に自然に消失します。
消失せずに感染が長期化した場合、細胞が変化して子宮頸がんになる可能性があります。
この検査は子宮頸がん検査とセットで行ないますので、HPV検査単体での受診はできません -
CA15-3検査
(乳がん腫瘍マーカー)2,750円乳がんを患ったことのある方で、再発や転移の可能性がないかを調べます。
-
レディースセット
女性用のオプション検査をお得に受診できるセットです。
乳房X線検査(マンモグラフィ)
子宮頸がん(細胞診)+経膣超音波+HPV検査
腫瘍マーカー・甲状腺刺激ホルモン検査検査
骨粗鬆症検査
乳腺超音波検査(エコー)
女性向けオプション検査












